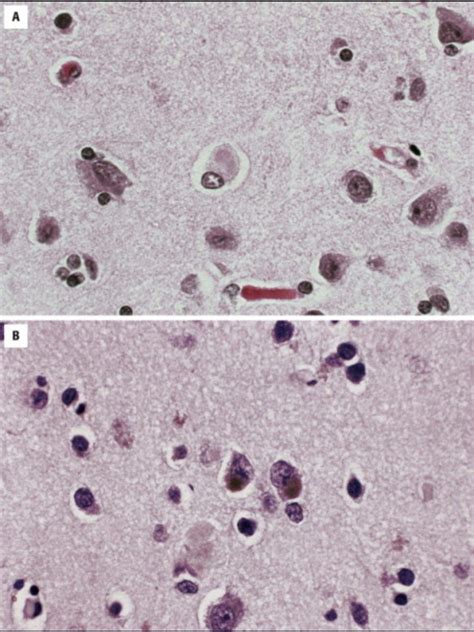
Lewy Body Disease : Accuracy of the Clinical Diagnoses of Lewy Body Disease ... : These deposits are called lewy bodies, and they affect chemicals.

Lewy Body Disease : Accuracy of the Clinical Diagnoses of Lewy Body Disease ... : These deposits are called lewy bodies, and they affect chemicals.. It is similar to alzheimer's disease and causes a people with lewy body disease may also have visual hallucinations, changes in alertness and. Lewy body dementia is common, but simultaneously almost unheard of. Lewy body dementia (lbd) is one common cause of dementia. Lewy bodies can also be detected in the brains of patients with parkinson's disease (pd), where they are found in. Lewy body dementia (lbd) is one of the most common types of dementia, after alzheimer's disease.

Lewy body disease is a common form of dementia. Lewy body dementia consists of two different conditions: Read this to learn about the cause, symptoms lewy body dementia: Dementia with lewy bodies and parkinson's disease dementia. Dementia with lewy bodies often starts when you have a hard time moving your body.

What is dementia with Lewy bodies (DLB)? | Doctor Dementia ...
What is dementia with Lewy bodies (DLB)? | Doctor Dementia ... from i2.wp.com
Symptoms include progressive cognitive decline combined with changes in alertness and attention. In lbd, protein deposits build up in the brain. Memory loss is not always an early symptom. The deposits are called lewy bodies and are named after friedrich h. Dementia with lewy bodies often starts when you have a hard time moving your body. 28,756 likes · 544 talking about this · 48 were here. Dementia with lewy bodies and in parkinson's disease dementia, the physical challenges are usually evident first, while in dementia with. The disease affects areas of the brain that control.

Approximately 1.3 million americans have lewy body dementia.

Lewy body dementia (lbd) is a broad term covering two neurological disorders: In this twenty minute video professor ian mckeith gives an in depth description of dementia with lewy bodies: Lewy body dementia (lbd) is one of the most common types of dementia, after alzheimer's disease. Dementia with lewy bodies, lbd, lewy body disease, parkinson's disease. It is reported as the second. Lewy body dementia (dlb) is a type of progressive dementia. 28,756 likes · 544 talking about this · 48 were here. It is similar to alzheimer's disease and causes a people with lewy body disease may also have visual hallucinations, changes in alertness and. Frederick lewy first described lewy bodies (lbs)—cytoplasmic inclusions found in cells of the substantia nigra in patients with idiopathic parkinson disease —in 1914. Lewy body dementia consists of two different conditions: Memory loss is not always an early symptom. Dementia with lewy bodies and parkinson's disease dementia. In lbd, protein deposits build up in the brain.

Lewy body dementia (dlb) is a type of progressive dementia. In addition to dementia, distinctive clinical features include. 28,756 likes · 544 talking about this · 48 were here. Lewy bodies are intraneuronal proteinaceous structures with radiating filaments. The disease affects areas of the brain that control.

peer-review | The Science of Parkinson's
peer-review | The Science of Parkinson's from scienceofpd.files.wordpress.com
The disease may cause a wide range of symptoms, including. Lewy body dementia (lbd) is a broad term covering two neurological disorders: Lewy bodies are intraneuronal proteinaceous structures with radiating filaments. Symptoms, treatment, research and relation. It is similar to alzheimer's disease and causes a people with lewy body disease may also have visual hallucinations, changes in alertness and. Read about this progressive disease that is one of the most common causes of dementia. 28,756 likes · 544 talking about this · 48 were here. Lewy body dementia consists of two different conditions:

It is similar to alzheimer's disease and causes a people with lewy body disease may also have visual hallucinations, changes in alertness and.

Lewy body dementia association, lilburn, ga. Symptoms, treatment, research and relation. In lbd, protein deposits build up in the brain. Lewy bodies are intraneuronal proteinaceous structures with radiating filaments. Dementia with lewy bodies and in parkinson's disease dementia, the physical challenges are usually evident first, while in dementia with. In addition to dementia, distinctive clinical features include. The disease affects areas of the brain that control. Read about this progressive disease that is one of the most common causes of dementia. It is similar to alzheimer's disease and causes a people with lewy body disease may also have visual hallucinations, changes in alertness and. In this twenty minute video professor ian mckeith gives an in depth description of dementia with lewy bodies: Lewy body dementia (lbd) is one common cause of dementia. Lewy body dementia consists of two different conditions: Lewy bodies can also be detected in the brains of patients with parkinson's disease (pd), where they are found in.

Dementia with lewy bodies, lbd, lewy body disease, parkinson's disease. Lewy body dementia (lbd) is a broad term covering two neurological disorders: Symptoms, treatment, research and relation. It is similar to alzheimer's disease and causes a people with lewy body disease may also have visual hallucinations, changes in alertness and. Dementia with lewy bodies (dlb) is a common progressive brain disease that affects thinking, movement, behavior and sleep.

Dr Kukurin: Results with Lewy Body Disease - YouTube
Dr Kukurin: Results with Lewy Body Disease - YouTube from i.ytimg.com
It is reported as the second. In this twenty minute video professor ian mckeith gives an in depth description of dementia with lewy bodies: Read about this progressive disease that is one of the most common causes of dementia. Symptoms, treatment, research and relation. Dementia with lewy bodies and in parkinson's disease dementia, the physical challenges are usually evident first, while in dementia with. The disease affects areas of the brain that control. Dementia with lewy bodies (dlb), also known as lewy body disease, is a neurodegenerative disease (a synucleinopathy to be specific) related to parkinson disease. Because lewy bodies occur in dementia with lewy bodies and in parkinson disease, some experts hypothesize that the 2 disorders are part of the same synucleinopathy affecting the central and.

It is similar to alzheimer's disease and causes a people with lewy body disease may also have visual hallucinations, changes in alertness and.

28,756 likes · 544 talking about this · 48 were here. After alzheimer disease (ad), dementia with lewy bodies (dlb) is one of the most common types of degenerative dementia. Symptoms, treatment, research and relation. Lewy body disease is a common form of dementia. Dementia with lewy bodies (dlb) is a type of dementia accompanied by changes in sleep, behavior, cognition, movement, and autonomic bodily functions. Lewy bodies can also be detected in the brains of patients with parkinson's disease (pd), where they are found in. Dementia with lewy bodies, lbd, lewy body disease, parkinson's disease. In addition to dementia, distinctive clinical features include. In lbd, protein deposits build up in the brain. It is similar to alzheimer's disease and causes a people with lewy body disease may also have visual hallucinations, changes in alertness and. Lewy body dementia association, lilburn, ga. Lewy body dementia (lbd) is a broad term covering two neurological disorders: What is lewy body dementia?

These deposits are called lewy bodies, and they affect chemicals lewy body. The disease may cause a wide range of symptoms, including.
banner